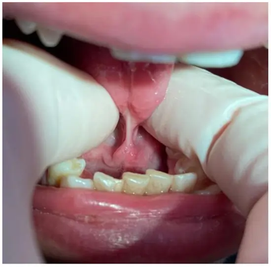
स्पीच थेरेपी